菌核病
病害(かび)
症状の特徴
1)メロンのあらゆる部位で発生をみる(写真1,2,3)。罹病部位では総じて水浸状に腐敗し、やがて白色のかびやネズミ糞状の菌核が生じる。
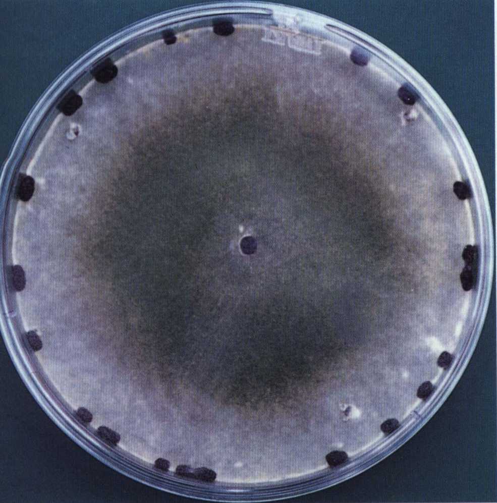
2)写真4は培地上で形成された菌核病菌の菌核(Sclerotinia属)を、写真5には低温処理後に菌核から発芽した子のう盤(きのこ状)をそれぞれ示す。子のう盤の傘の部分からは細長い袋状の子のうが検出される。子のうが完熟した場合、子のうの中に子のう胞子が形成される。
発生しやすい条件
1)連作圃場で発生が多い。
2)気温が20℃前後で、降雨が続いたときに発病しやすい。
3)通気が悪い部分の茎葉、果実に発病しやすい。





