成績概要書(2008年1月作成)
課題分類:
研究課題:BSE脳内感染実験牛のプリオン体内分布
担当部署:北海道立畜産試験場 基盤研究部 遺伝子工学科、感染予防科、病態生理科
担当者名:
協力分担:動物衛生研究所プリオン病研究センター、国立感染症研究所
予算区分:外部資金(厚労科研費)
研究期間:2005〜2007年度(平成17〜19年度)
1.目的
牛海綿状脳症(BSE)は人獣共通感染症であり、畜産物の生産・流通・消費に負の影響を与えている。BSEの発症機序や病態は未だ不明で、生前診断も現在不可能である。本研究は、BSEプリオン感染脳乳剤を脳内接種したBSE脳内感染実験牛の異常プリオン蛋白質(PrPSc)の体内分布を解析し、BSEの発症機序および病態の解明に資する。

2.方法
1)BSE脳内感染実験牛におけるプリオン体内分布
 ホルスタイン種雌牛19頭を用いた。接種材料としてBSE患畜(国内2例、英国1例)および対照としてBSE陰性を確認した牛脳組織より作成した10%脳乳剤を用いた。2~4ヶ月齢の供試牛に接種材料を脳内接種し(BSE脳内感染実験牛16頭、正常脳接種牛3頭)、経過観察後、動物バイオセーフティ基準3施設で病理解剖を行った。脳組織および諸臓器を採取し、ウエスタンブロット法(WB)でPrPScの検出を行った。
2)BSE脳内感染実験牛の血液成分の解析
 臨床症状が確認された9頭のBSE脳内感染実験牛について、経時的に血液一般検査項目を分析した。またELISA法により血清S-100B濃度を測定した。

3.成果の概要
1)BSE脳内感染実験牛におけるプリオン体内分布
(1)接種後3ヶ月では中枢神経のいずれの部位からもPrPScは検出されなかった。臨床症状が出現するおよそ8ヶ月前である接種後10ヶ月の牛の脳幹部で微量のPrPScが検出された。接種後20ヶ月以上で解剖した発症後解剖牛においては、脳組織の全域でPrPScが検出された(表1)。
(2)接種からの経過期間に従いPrPScが検出された部位も拡大し、またPrPScの蓄積量も増加する傾向にあった。
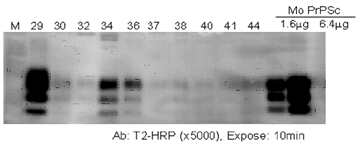
(3)網膜を検査した12頭中11例でPrPScが検出された。発症前に解剖した接種後16ヶ月の牛では中枢神経系とその近傍にPrPScの蓄積を認めたが、発症前に解剖した接種後19ヶ月の牛では迷走神経や舌下神経、発症後解剖した接種後23ヶ月の牛では坐骨神経や副腎、迷走神経胸部など末梢組織からもPrPScが検出された(図1、2)。
2)BSE脳内感染実験牛の血液成分の解析
赤血球数などで対照群と差がみられたもののBSE特異的に変化する血液一般検査項目は無く、本手法によるBSEの生前診断は困難であった。
以上のように、BSE脳内感染実験牛のプリオン体内分布を明らかにした。またWBにより脳幹部に蓄積したPrPScを発症期の8ヶ月前に検出した。BSEにおける中枢から末梢へのプリオン伝播機序および発症機序解明のために不可欠な基礎知見となる。

  表1 脳組織におけるウエスタンブロット法によるPrPScの検出
 
  ++:PrPSc陽性、+:PrPSc陽性(<Mo Sc 1.6mg)、−:陰性、±:判定不能、ND:未実施

 
     接種後16ヶ月           接種後19ヶ月           接種後23ヶ月
    図1 BSE脳内感染実験牛のプリオン体内分布の推移

 

4.成果の活用面と留意点
・本試験の成果および採取した組織材料はBSEの病態解析などプリオン病研究に活用される。

5.残された問題とその対応
・プリオン感染後からPrPScが蓄積する前までのプリオンの所在
・BSEの発症機序および感染経路の解明
・非定型BSEの病原性と感染機序の解明