ページ内目次
サケ・マス原虫症に“お茶”が効く
はじめに
  日本で増殖されているシロサケ、カラフトマス、サクラマス等のサケ・マス類には孵化してから放流するまでイクチオボド、トリコジナ、キロドネラ等の原虫が寄生し被害を与えてきました。特にイクチオボド(学名イクチオボド・ネカトール)は主に鰭と体表に寄生し、そのため寄生を受けたサケは体表が崩壊壊死し淡水中で死亡するだけでなく、海水適応能が著しく低下することがわかっています(写真1)。したがって、イクチオボドが多数寄生したサケでは放流後海洋に移動してから死亡する可能性が高いと考えられます。これまでは低濃度のホルマリンを池に滴下することにより魚の体表に付着している原虫を除去してきました。しかし、国民の“食の安全”に対する意識が高まる中、平成15年7月には薬事法が改正された結果、ホルマリン、マラカイトグリーンを含め全ての未承認医薬品の使用が禁止されました。
北海道立水産孵化場では現在ホルマリンとマラカイトグリーンの代替法の開発が進行中ですが、その一環として食品によるサケ・マス原虫症対策試験(ホルマリンの代替法開発)が行なわれており、その過程で食品の“お茶”がイクチオボドに効くことがわかってきました。今回はその有効性、安全性について御紹介いたします。
 
		北海道立水産孵化場では現在ホルマリンとマラカイトグリーンの代替法の開発が進行中ですが、その一環として食品によるサケ・マス原虫症対策試験(ホルマリンの代替法開発)が行なわれており、その過程で食品の“お茶”がイクチオボドに効くことがわかってきました。今回はその有効性、安全性について御紹介いたします。
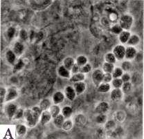
写真1.イクチオボド
A.光学顕微鏡写真。サケ背鰭にみられたイクチオボド。400倍。
B.走査型電子顕微鏡写真。サケ体表のイクチオボド。1,500倍。
 
            A.光学顕微鏡写真。サケ背鰭にみられたイクチオボド。400倍。
B.走査型電子顕微鏡写真。サケ体表のイクチオボド。1,500倍。
お茶
  お茶はツバキ科の樹(学名カメリア・シネンシス)の芽や葉から作られる嗜好飲料です。お茶の歴史はとても古く、神話では約5,000年前、中国の神農帝が服したのが始まりと伝えられています。原産地は中国雲南省からインドのアッサム地方の山地と推測されてをり、蒸した茶葉を薬として食していたそうです。日本へは遣隋使、遣唐使の留学僧が持ち帰ったのが始まりと言われています。平安時代には最澄、空海が中国・唐より茶種を持ち帰り、鎌倉時代には栄西禅師が中国・宋より抹茶の製法と茶種を持ち帰り、明恵上人が京都で宇治茶の栽培を始めその後各地に広がったと考えられています。お茶の効用は昔からいろいろ言われています。健康ブームにともなってお茶の健康面でのさまざまな効用が見直されつつあるようです。今回試験に使用したのは緑茶の熱水抽出物(食品)で粉末状に乾燥したものです(商品名カメリア、(株)太陽化学)。主成分は茶ポリフェノール(カテキン)です。
  
 
            茶ポリフェノールの有効性
  イクチオボドが寄生したサケに対して2つの方法が考えられます。1つは孵化してから浮上時期までの魚に対するものです。この時期の魚は卵黄嚢をもち池の砂利、小石の間にいるためにヒトが網等で集めたりすることはできません。そのため池に低濃度の茶抽出物を長時間滴下することが有効と考えられます。また、浮上時期から放流までの稚魚では網等で集めた後 タンク中に用意した高濃度の茶抽出物に短時間漬けることが有効です。実験室でこのような状況を再現して調べてみました。
飼育水中に0.03パーセントになるように茶熱水抽出物を溶かして30分から60分間魚を漬けてから、水槽に移し1日後に寄生虫数を数えました。サケでもサクラマスでも寄生虫数は対照(何の処理もしていない魚)のほぼ10パーセント以下に減少しました(図1と図2)。また、茶熱水抽出物を0.3パーセントから0.9パーセントになるように溶かした飼育水に魚を1分から5分漬けると、寄生虫は対照の3パーセントから5パーセントに減少しました(図3)。このように茶熱水抽出物は孵化してから放流するまでのどの時期の魚にも使用でき有効であると考えられました。
  
 
		飼育水中に0.03パーセントになるように茶熱水抽出物を溶かして30分から60分間魚を漬けてから、水槽に移し1日後に寄生虫数を数えました。サケでもサクラマスでも寄生虫数は対照(何の処理もしていない魚)のほぼ10パーセント以下に減少しました(図1と図2)。また、茶熱水抽出物を0.3パーセントから0.9パーセントになるように溶かした飼育水に魚を1分から5分漬けると、寄生虫は対照の3パーセントから5パーセントに減少しました(図3)。このように茶熱水抽出物は孵化してから放流するまでのどの時期の魚にも使用でき有効であると考えられました。
茶ポリフェノールの安全性
  では、魚に対する安全性はどうでしょうか。有効な濃度と時間だけでなく、より高い濃度でかつより長時間魚を漬けてその影響を調べてみました。茶熱水抽出物を0.3パーセントから2.7パーセントになるように飼育水に溶かし、1分から10分サケおよびサクラマス稚魚を漬けて1日後の累積死亡率を調べてみると、ほとんど死亡はみられませんでした(図4)。例えば有効性試験から明らかになったように、0.9パーセントに1分漬けると寄生虫数は対照の2.7パーセントにまで減少します。この濃度と時間のそれぞれ3倍、すなわち茶熱水抽出物2.7パーセントに3分漬けても死亡は全くみられませんでした。このことから、有効な条件を大幅に逸脱しない限り安全であると考えられます。また、茶熱水抽出物に魚を漬けても(茶熱水抽出物0.03パーセントに30分および0.9パーセントに5分)海水適応能に対する影響はないことを確認しています。
  
 
		使い方と今後の課題
  これまでの試験結果から、濃度0.03パーセントで30分間魚が漬かった状態になるように池に滴下するか、タンクに0. 6パーセントの液を用意して3分間魚を漬ける方法が良いと考えられました。今後は孵化場規模での実証試験とそのためのマニュアル作りが必要です。さらに、茶熱水抽出物に漬けることによる回帰や成長に与える影響についても検討する必要があります。
 
   (北海道立水産孵化場 養殖病理部魚病防疫科長 鈴木邦夫)
  
