 熱処理チップ |
熱処理チップのアンモニア吸着材・土壌改良材 カラマツチップなどの森林バイオマスから、熱処理によりアンモニア吸着材を製造する技術を確立し、吸着効果と使用後の土壌改良材としての適性を明らかにしました。畜舎の空気環境改善、生ゴミ処理機の脱臭能向上、使用済み吸着材の土壌改良材としての利用といった様々な活用が期待されます。 |
|
マウスへのGABA富化素材投与後の 収縮期血圧変化
(日本食品分析センターにおける試験)
|
きのこを原料とした機能性アミノ酸「GABA」の富化技術 血圧抑制効果や精神安定作用といった健康機能が注目され、道内で生産されるきのこにも含まれる「GABA」(γ-アミノ酪酸)を人為的に増やす処理方法を開発しました。エノキタケ、シイタケを用いた研究では、GABA含有量を短時間で60~70倍まで高めることに成功し、得られた素材を用いた動物実験では血圧降下作用が認められました。 ※本技術は「機能性を富化するきのこの製造技術」として特許を出願しています。 |

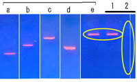
PCR法による腐朽菌の同定 |
既存木造住宅の生物劣化診断手法 既存木造住宅の長寿命化と構造安全性を確保するため、信頼性の高い生物劣化診断技術および生物劣化を受けた既存住宅の構造性能推定手法の開発に取り組みました。その結果、木材腐朽菌の遺伝子(DNA)から種を同定する技術を確立し、従来の検出・同定法に比べて短時間で高精度の結果が得られるようになったほか、衝撃ピン打ち込み(ピロディン)や打撃音といった、非破壊手法による耐力壁の残存耐力の推定方法を提示しました。 |
 JIS規格に基づく測定 |
光触媒材料の空気浄化機能評価技術 室内の有害な化学物質の分解・除去を目的とした光触媒材料について、その空気浄化能力を統一された手法で正しく評価することを目的に、試験方法の規格(JIS)が順次制定されています。林産試験場ではJISに対応した測定環境を整備し、光触媒材料の空気浄化能力について検討を進めています。 |
 シールド性能の比較 |
電磁波シールド性能を有する合板 通信ネットワークの無線化が急速に進展し、機密保持等の観点から早急な電磁環境対策が求められています。林産試験場では、黒鉛系や炭素系の材料を混入した接着剤を用いて「電磁波シールド性能を有する合板」を開発し、市販の無線LAN製品を用いた試験により、シールド性能を付加できる条件について確認しました。 |

オフィス用パーティション イメージ図 |
小断面わん曲集成材を用いたパーティション 小断面のわん曲集成材と通直集成材を組み合わせた“パーティション”を開発しました。自由なレイアウトの組み立てが可能、設置や解体の作業が容易、といったメリットがあり、オフィス用の家具としてだけではなく、店舗や公共施設、そして一般家庭用としての利用が期待されます。 ※本技術は「小断面集成材によるブロックとその組み立て方法」として特許を出願しています。 |
 試験製造した混合ペレット |
建築廃材粉砕物等の燃料用ペレット化 木質バイオマス資源有効活用の観点から、パーティクルボード製造過程で余剰に生じる建築廃材粉砕物と、きのこ栽培の過程で生じる木質系菌床廃培地を混合した燃料用ペレットを開発しました。製造したペレットは崩れにくく、既存の全木ペレットと同程度の燃料特性を持ち、製造コストの面でも十分、供給可能であることが明らかになりました。 |
 |
グイマツ雑種F1苗の高精度判定法へ向けた取り組み 北海道における優良な造林樹種であるグイマツ雑種F1は、育苗時にF1とグイマツの判別がつきにくく、形態的特徴やフェノロジー(季節的な変化)などから判別を行っています。林産試験場では苗木の樹脂成分を指標とした雑種苗木の高精度判別技術の開発に取り組み、雑種判定の根拠となる化合物等に関する基礎的な知見を得ました。 ※本技術は「雑種識別方法」として帯広畜産大学、林業試験場と共同で特許を出願しています。 |
 含水率センサー |
蒸気式乾燥装置の含水率スケジュールによる自動制御装置 複数台の乾燥装置を同時に遠隔操作可能な、木材乾燥機の自動制御システムを開発しました。乾球温度、湿球温度、サンプル材の重量変化をリアルタイムで監視し、温・湿度を自動でコントロールすることで含水率スケジュールに基づいた乾燥を可能にしました。広葉樹43種、針葉樹26種に対応しています。 ※本研究で開発したシステムは平成19年に製品化され、共同研究先の(株)デックシステムで販売されています。 |
 ラミナの乾燥試験 |
集成材用ラミナの品質を向上させる乾燥技術 道産人工林材を用いた集成材用ラミナの乾燥において、乾燥後の変色や強度の低下、曲がりや反りなどの損傷を改善するとともに、燃料消費量を抑えた省エネルギー型の乾燥技術を開発しました。従来よりも低い温度域で乾燥することによってコスト低減を図り、良好な品質の乾燥材を得られます。 |
 木製耐火被覆材を用いた集成材 |
木質耐火被覆材による集成材の耐火性能向上技術 体育館や多目的ドームなどの大型木造建築物に使用されている集成材をより広い用途に使用できるようにするため、鉄筋コンクリートと同等の耐火性能を付与する技術を開発しました。薬剤処理した木材を使用した木質耐火被覆材を集成材の周囲に取り付ける方法により、集成材の耐火性能が向上します。 ※本技術は「耐火木質構造部材」として特許を出願しています。 |
 キトサン処理木材の腐朽試験 |
カニ殻由来のキトサンによる防腐処理 キトサンは安全性の高い天然由来の抗菌成分として食品や繊維製品に添加されています。水産加工場などから大量に廃棄されるカニ殻にはキトサンに変換できる多糖類のキチンが多く含まれていることから、カニ殻由来のキトサンで木材を処理する、人と環境に優しい木材防腐技術を開発しました。室内腐朽試験で高い防腐性能が確認できたので、今後は、環境配慮を要する施設への試験施工により野外環境での防腐性能について確認していきます。 |
 官能試験による香りの評価 |
芳香性を有する木質材料 人の感性に優れた効果を与えることのできる材料である木材に芳香性を付与することで、嗅覚によるさらなる感性への効果を期待し、合板製造時にトドマツ精油やラベンダー精油などを接着剤に添加することで、持続的に芳香成分を放散させる材料の開発に取り組みました。芳香性合板の芳香成分は相当の長期間持続し、時間とともに放散濃度が低下しても人の嗅覚への影響はあまり変化しないことがわかりました。 |
 |
太陽熱木材乾燥装置 太陽熱を利用し補助熱源に木質ペレットボイラーを備えた木材乾燥装置を用いて、仕上がり含水率のばらつきを低減するためのさん積み方法や、品質の良い乾燥材を得るための使用方法を明らかにしました。また、積雪寒冷地における年間を通した性能把握を行い、冬季の北海道においても十分使用可能であることがわかりました。 |
 |
小断面わん曲集成材による小規模構造物の開発
小断面わん曲集成材の特長を活かした、デザイン性と機能性に優れた軽自動車サイズのコンセプトガレージを企業と共同で開発しました。車やオートバイの保管のほか、採光性を活かしガーデニング用温室としても利用できます。低コスト化と高い施工性を実現するため、バリエーションは基本構成の数タイプとドア・換気口・外装材等の選択オプションとしました。現在、共同研究先の企業で商品化を予定しています。 ※本技術は「組立式家屋等の骨組み」として特許を出願しています。 |